Fundación Hospital Móvil Bonaerense
  • Inicio
  • Historia
    • Misión, Visión y Valores
  • Novedades
  • Fotos
  • Doná Aquí
  • Contáctanos
24 agosto, 2020 por Fundación Hospital Móvil Bonaerense

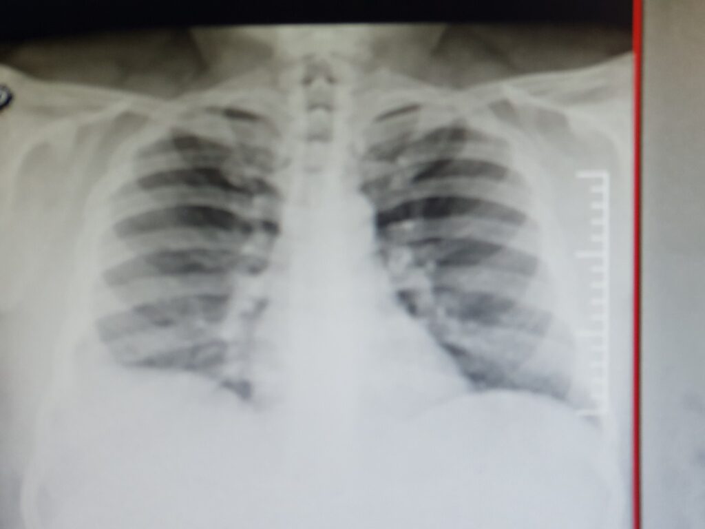
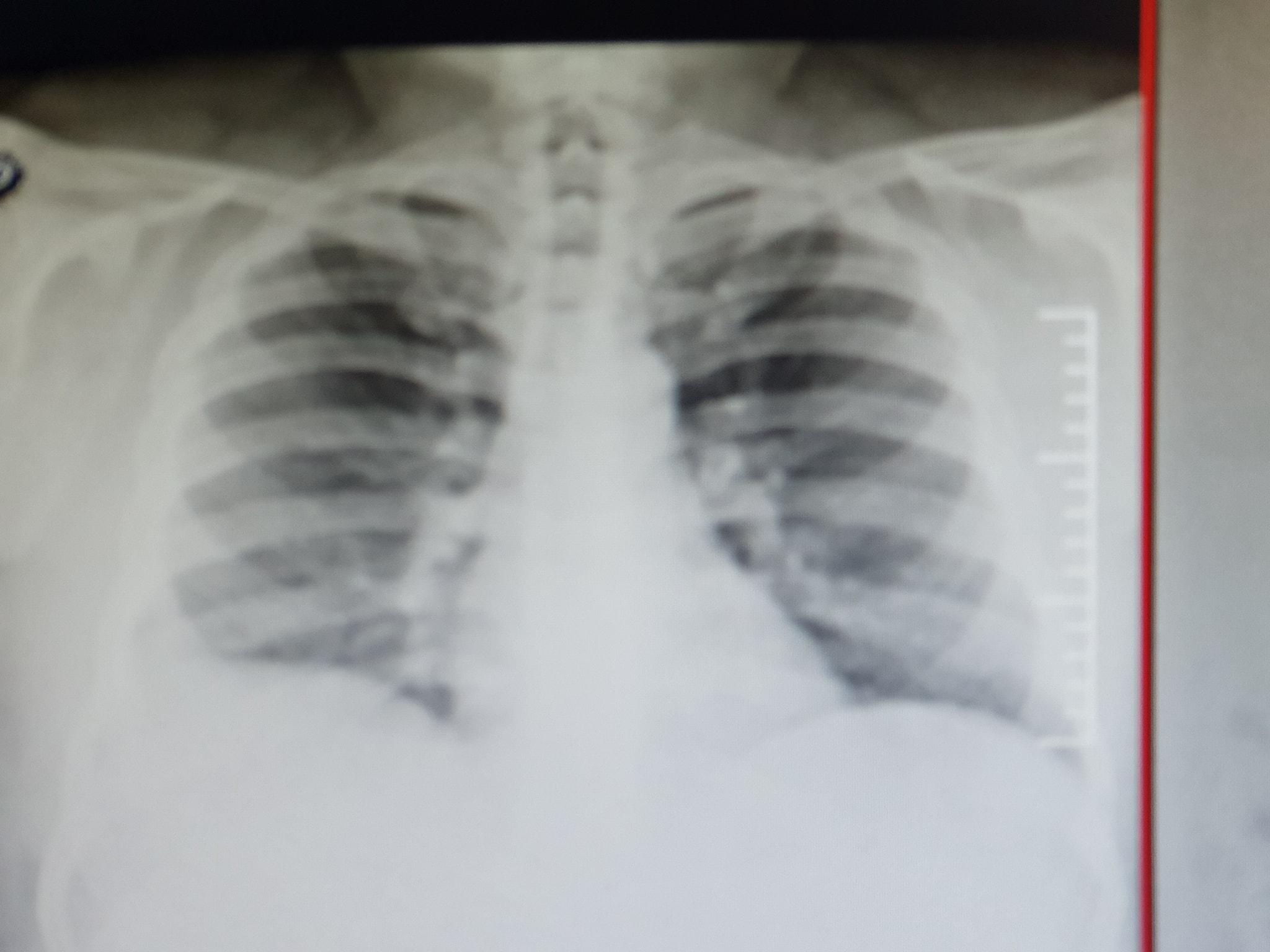
Neumonía por COVID

Neumonía por COVID
24 agosto, 2020 por Fundación Hospital Móvil Bonaerense

Neumonia Típica por SARS2-COV19. Cuidate !! Respeta las normas sanitarias !!

Artículo anteriorCursos de RCPArtículo siguiente Atendiendo en el Conurbano

Deja una respuesta Cancelar la respuesta

Tu dirección de correo electrónico no será publicada. Los campos obligatorios están marcados con *

About The Blog

Nulla laoreet vestibulum turpis non finibus. Proin interdum a tortor sit amet mollis. Maecenas sollicitudin accumsan enim, ut aliquet risus.

Entradas recientes

Nuevos Cursos RCP22 abril, 2026
Viaje a Mercedes21 agosto, 2021
En nuestra CABA17 marzo, 2021

Categorías

  • Covid
  • Cursos
  • Viajes

Meta

  • Acceder
  • Feed de entradas
  • Feed de comentarios
  • WordPress.org

Etiquetas

Donaciones Novedades RCP

Descúbrenos

  • Inicio
  • Historia
    • Misión, Visión y Valores
  • Novedades
  • Fotos
  • Doná Aquí
  • Contáctanos

Categorías

  • Covid (2)
  • Cursos (2)
  • Viajes (3)

Entradas recientes

Nuevos Cursos RCP22 abril, 2026
Viaje a Mercedes21 agosto, 2021
En nuestra CABA17 marzo, 2021

Nuestra Visión

Buscamos transformar la realidad sanitaria eliminando las barreras geográficas y económicas, convirtiéndonos en un símbolo de esperanza y tecnología sobre ruedas que llega allí donde el sistema tradicional no alcanza

Fundación Hospital Móvil Bonaerense ♥ Developed by Sigues - Sistemas de Gestión

Nuestra Visión

Buscamos transformar la realidad sanitaria eliminando las barreras geográficas y económicas, convirtiéndonos en un símbolo de esperanza y tecnología sobre ruedas que llega allí donde el sistema tradicional no alcanza

Entradas recientes

Nuevos Cursos RCP22 abril, 2026
Viaje a Mercedes21 agosto, 2021
En nuestra CABA17 marzo, 2021

Categorías

  • Covid
  • Cursos
  • Viajes